Kelly Evangelista Rodrigues da Silva1 & Marina Gabriely Paiva Felipe1
1Acadêmico em Fisioterapia na Universidade Federal do Rio Grande do Norte (UFRN) e monitor do Programa de Monitoria da área V.
Introdução
O sistema tegumentar baseia-se no estudo do tegumento humano, conhecido como pele e anexos. A pele recobre a superfície externa do corpo, formando cerca de 8% de sua massa corporal total. Assim, a área da pele varia conforme a altura e o peso do indivíduo. Ainda, sua espessura também é variável e oscila entre 1,5 -4,0 mm de acordo com o estado de maturação, envelhecimento e especializações regionais. Nesse sentido, as principais funções da pele envolve o revestimento e a secreção. A primeira refere-se ao fato de a pele envolver tanto a superfície corporal interna e externa, quanto a superfície interna e externa dos órgãos. Esta função associa-se a outras atividades, tais como absorção iônica e molecular, proteção e percepção de estímulos. Já em seu papel secretor, o sistema tegumentar desenvolve tal função via células epiteliais de revestimento, assim como estruturas especializadas denominadas glândulas.
De modo grosseiro, a pele pode ser classificada em dois tipos: a pele fina ou pilosa, que cobre a maior parte do corpo; e a pele espessa, caracterizada por não possuir pelos e por formar as superfícies das palmas das mãos, plantas dos pés e superfícies flexoras dos dedos. Considerando uma visão mais específica em relação ao tecido, a pele divide-se ainda em: epiderme, que compõe sua parte superficial e fina; e derme, parte mais profunda e espessa de tecido conjuntivo.
Epiderme
A epiderme consiste em um tecido composto formado principalmente por epitélio escamoso estratificado, queratinizado, com renovação frequente e avascular. Em sua composição, a epiderme apresenta as células principais (Fig 1) chamadas de ceratinócitos ou queratinócitos, e os não-ceratinócitos (melanócitos, células de Langerhans, linfócitos e células de Merkel). Além disso, por ser avascular, nutrientes e oxigênio se difundem pela epiderme a partir de vasos sanguíneos da camada adjacente – derme.

Sua conhecida capacidade de renovação contínua se dá pela atividade mitótica das populações de ceratinócitos: as células recentemente formadas são mantidas na superfície, substituindo as células anteriores que são deslocadas para uma camada mais profunda, formando, assim, células poligonais e com proteínas filamentares intermediárias (ceratinas), responsáveis por formar a ceratina madura.
Além disso, a epiderme é dividida em várias camadas (Fig 2), sendo de mais profundo para a superfície: 1) camada basal, 2) camada espinhosa, 3) camada granulosa, 4) camada lúcida (clara) e 5) camada cornificada (córnea).


Nota: Observe que a nomenclatura pode mudar e o estudante deve-se pautar pela disciplina de histologia quando estudar tal tema com auxílio da microscopia óptica.
Queratinização e crescimento da epiderme
Como apresentado anteriormente, a camada basal apresenta células com elevada atividade mitótica. As células recém formadas são empurradas para a superfície e, conforme ocorre o movimento, acumulam queratina num processo chamado de queratinização. Dessa forma, vale destacar a importância da queratina: trata-se de uma proteína fibrosa rígida que auxilia na proteção da pele e nos tecidos subjacentes de abrasões, calor, microrganismos e substâncias químicas. Ademais, produz grânulos lamelares que liberam uma substância responsável por repelir a água.
Concomitantemente ao movimento dos novos queratinócitos, as camadas epidérmicas acima da camada basal recebem menos nutrientes, desgastam-se e podem morrer. Em contrapartida, a taxa de crescimento da camada basal se dá quando as camadas mais externas da epiderme são continuadamente removidas.
Derme
A derme é um tecido conjuntivo de sustentação da epiderme e de união da pele ao tecido subcutâneo (hipoderme). Sua composição baseia-se em uma rede entrelaçada colagenosa e elástica, acomodando nervos, vasos sanguíneos, linfáticos, apêndices epidérmicos e uma população evolutiva de células. Nesse sentido, a presença das fibras colágenas arranjadas, bem como de fibras elásticas, permitem maior resistência à tração e capacidade elástica, características constatadas da pele.
A derme é arranjada em duas camadas: camada papilar (imediatamente profunda à epiderme) e camada reticular (Figs 3 e 4).


Hipoderme ou tela subcutânea
A hipoderme é formada por tecido conjuntivo frouxo, unindo de maneira pouco firme a derme aos órgãos subjacentes (Fig 4). Relaciona-se com a mobilidade aumentada da pele, o amortecimento de choques e a constituição de uma reserva de energia metabólica.
De acordo com a nutrição e a região do organismo, a hipoderme apresenta uma camada variável de tecido adiposo, de modo que a quantidade deste tecido adiposo está relacionada com a quantidade de lipídios armazenada nos adipócitos (Fig 5). Ao evidenciarmos o papel de isolamento térmico exercido pelos lipídios, percebe-se a função da hipoderme como reguladora da temperatura corporal.

Fonte: Monitoria Virtual de Histologia – UFRN

Pelos
São estruturas cornificadas, delgadas e queratinizadas, desenvolvidas a partir de uma invaginação da epiderme, compostos por células epidérmicas queratinizadas mortas. A coloração, o tamanho e a disposição dos pelos variam de acordo com a cor da pele e a região do corpo, como os pelos da face e da região pubiana que são influenciados por hormônios, em especial, os sexuais.
Quais os componentes anatômicos do pelo?
A anatomia do pelo compreende uma haste, projetada acima da superfície da pele; e a raiz, que forma a porção que penetra na derme. A haste e a raiz apresentam três camadas de células dispostas concentricamente: medula, córtex e cutícula do pelo. A medula interna varia sua quantidade de grânulos pigmentosos de acordo com o pelo, apresentando maior quantidade nos pelos escuros e ausência nos pelos brancos. O córtex médio é formado por células alongadas, enquanto a cutícula do pelo é composta por células achatadas, finas e queratinizadas (Figs 6 e 7).


Qual a origem dos pelos?
Cada pelo se origina de uma invaginação da epiderme, o folículo piloso, o qual apresenta um crescimento em sentido para baixo da epiderme. O folículo piloso é composto por uma bainha externa à raiz e uma bainha interna, conjuntamente conhecidas como bainha epitelial da raiz. Além disso, apresenta sua porção terminal (base) no chamado bulbo piloso, em cujo centro encontra-se a papila pilosa dérmica ー aglomeração de células mesenquimais indutivas necessárias para o crescimento do folículo piloso. Assim, o bulbo piloso gera o pelo e sua bainha radicular interna.
Partindo da derme superficial da pele até a bainha dérmica da raiz (em torno do folículo piloso) tem-se o músculo liso, conhecido como músculo eretor do pelo. Tal músculo permite determinada angulação ao pelo, além de responder aos estresses fisiológicos ou emocionais, tracionando-os e deixando-os perpendiculares à superfície da pele.
Como se dá o crescimento do pelo?
O crescimento dos pelos se dá mediante seus ciclos de crescimento e repouso. No estágio de crescimento, as células presentes no bulbo piloso, mais precisamente na matriz pilosa, sofrem divisões celulares, formando novas células que, conforme são adicionadas à base da raiz do pelo, empurram células do pelo para cima, causando sua queratinização e morte. Segue-se, então, para o estágio de involução ou regressão durante a qual cessa a atividade mitótica da matriz germinal, promovendo a atrofia do folículo piloso.
Glândulas sebáceas
São glândulas localizadas em toda derme, com exceção da pele glabra (sem pelos), na superfície de palmas, plantas e e regiões flexoras dos dedos (Figs 8 e 9). Liberam uma secreção lipídica formada principalmente por triglicerídeos, ácidos graxos livres, ésteres e ésteres de colesterol, mais conhecida como o sebo. O sebo é liberado nos folículos pilosos, na região entre a inserção do músculo eretor do pelo e epiderme. Entretanto, em locais onde não estão presentes folículos pilosos, geralmente na pele fina, a secreção é liberada diretamente na pele, como nos lábios, mamilos, clitóris e pênis. Sua função baseia-se na proteção dos pelos, desestimulação de ectoparasitas e em promover o odor característico do corpo.
Sua classificação se dá em diversos tipos: pelo modo de eliminação das secreções, classificadas como glândulas de mecanismo holócrino, ou seja, o seu produto de secreção é liberado juntamente com toda a célula; e pela sua forma, sendo classificada como uma glândula acinosa simples ramificada, em que vários ácinos secretores se esvaziam em um único canal excretor.
Qual o seu mecanismo de secreção?
Os ácinos que compõem a glândula sebácea apresentam uma camada externa formada de células epiteliais achatadas (sebócitos), repousando sobre uma membrana basal. Para o sebo ser liberado, ocorre uma proliferação e diferenciação dos sebócitos em células arredondadas, cujo interior acumula a secreção lipídica. Já a proliferação ocorre em direção ao centro do ácino, que aumenta cada vez mais o seu tamanho e sua concentração dos vacúolos lipídicos. Em seguida, os núcleos se condensam e desaparecem enchendo a cavidade central e seu ducto com uma massa de detritos celulares adiposos, liberando a secreção através de um ducto largo para o infundíbulo do folículo piloso e, assim, para o pelo e epiderme geral. Vale salientar que a piloereção facilita a liberação da secreção, e isso ocorre pois quando os pelos ficam mais retos as glândulas sebáceas são comprimidas.
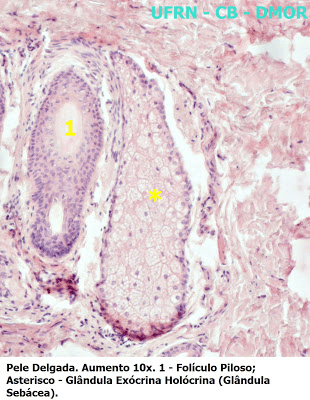
Quando a secreção lipídica fica presa dentro do ducto, isso pode ocorrer por um distúrbio no fluxo da secreção, provocando uma inflamação crônica nos ductos obstruídos e caracterizando um processo chamado de acne, acontecendo comumentemente durante a puberdade. Na imagem abaixo, veja um corte histológico que mostra o folículo piloso e a glândula sebácea.

Glândulas sebáceas e o amadurecimento
No nascimento as glândulas são grandes e normalmente regridem, no intuito de, na puberdade, poderem ser naturalmente estimuladas. Este momento ocorre devido ao estímulo gerado por hormônios androgênios que atuam diretamente na glândula, incentivando o aumento da atividade secretória. Mulheres possuem uma menor quantidade de secreção de sebo, o que costuma diminuir ainda mais depois dos 50 anos por uma questão hormonal.
Glândulas sudoríparas
São glândulas merócrinas e tubulosas simples enoveladas com função de termorregulação, excreção e aumento da preensão e sensibilidade das palmas e plantas, com seus ductos abrindo-se na superfície da pele (Fig 9). Estão localizadas principalmente em regiões de face e nas superfícies flexoras das mãos e, em menor quantidade, na superfície dos membros. Somado a isso, nativos de climas quentes apresentam maior quantidade de glândulas sudoríparas, em comparação aos nativos de clima frio.

Citologicamente, apresentam três tipos de células: células claras, células escuras e células mioepiteliais. As células escuras estão localizadas adjacentes ao lúmen, enquanto as células claras estão entre as escuras e as mioepiteliais.
Qual seu mecanismo de secreção?
As células claras apresentam a membrana plasmática pregueadas, fator encarregado de fornecer a característica de transporte transepitelial de fluído e sais. Por esse motivo, acredita-se que elas têm a função de produzir a parte aquosa do suor. Já as células escuras possuem grânulos densos de glicoproteínas secretados por mecanismo merócrino, no qual há a liberação somente da secreção sem que haja perda da célula secretora. Por fim, as células mioepiteliais são aquelas que contém miofilamentos abundantes.
O que é o suor?
É um líquido transparente e hipotônico com relação ao meio tecidual, composto principalmente por sódio, cloreto, potássio e ureia. Apresenta modificação em sua composição por sua passagem pelo ducto, haja vista que as células basais reabsorvem sódio, cloreto e água. Na pele, o suor evapora, promovendo a diminuição da temperatura corporal. Além disso, pode ser influenciado por hormônios, sobretudo, pela aldosterona, a qual regula o balanço eletrolítico do corpo.
Glândulas apócrinas
São um tipo de glândulas sudoríparas, grandes e localizadas na derme e hipoderme. São formadas por um novelo secretório basal e um ducto reto que se abre acima do ducto da glândula sebácea no canal piloso, contudo, quando não há pelos, elas abrem-se diretamente na pele. Nos adultos, situam-se nas regiões de axila, aréolas, pele periumbilical, prepúcio, escroto, monte púbico, lábios menores e região perianal.
Qual o seu mecanismo de secreção?
A secreção é inicialmente viscosa e inodora e, quando sofre decomposição bacteriana, gera compostos odorosos. Seu mecanismo de secreção ainda não está claro, mas pode envolver secreção merócrina de grânulos, secreção apócrina ou desintegração holócrina completa das células. No entanto, a secreção pela atividade apócrina é mínima antes da puberdade, pois esse mecanismo é androgênio-dependente e responsivo a estímulos emocionais. Ademais, é sensível a epinefrina e norepinefrina. Nas mulheres, é comum que as glândulas apócrinas axilares sofram alterações durante o ciclo menstrual. Algumas evidências indicam que a as glândulas sudoríparas apócrinas são liberadoras de ferormônios, e essa secreção influencia a fisiologia reprodutiva. Este processo é um dos motivos para a sincronização do ciclo menstrual de mulheres de intenso convívio.
Unhas ou aparelho ungueal
São lâminas de células epidérmicas queratinizadas duras e firmemente compactadas em duas ou três camadas horizontais, localizadas na superfície dorsal das falanges distais dos dedos. Suas funções são: proteção das extremidades dos dedos, usadas para coçar, suporte e contrapressão a superfície palmar dos dedos das mãos para intensificar a percepção tátil e a manipulação, entre outras.
O aparelho ungueal consiste em placa ungueal, dobras ungueais proximal e laterais, matriz ungueal, leito ungueal e hiponíquio. Veja na Fig 10 abaixo a anatomia da unha e diferencie suas partes.
Por que as unhas são duras?
A dureza presente na unha é determinada pela disposição e coesão das camadas de escamas e pelas suas fibras internas.
Como as unhas crescem?
O crescimento da unha ocorre a partir da transformação das células superficiais da matriz em novas células da unha. Nesse processo, a camada mais dura e externa é empurrada para frente sobre o estrato basal.
A velocidade do crescimento da unha é dependente de idade, temperatura ambiente, estado nutricional, estação, cumprimento do dedo, entre outros. Normalmente, as unhas das mãos crescem mais rapidamente que as unhas dos pés.
Suprimento vascular
O suprimento vascular da pele é de suma importância para a termorregulação, de forma que sua capacidade pode ser aumentada ou diminuída em resposta a perda ou conservação de calor.
Como ocorre?
A vascularização da pele ocorre a partir de três fontes principais: sistema cutâneo direto, sistema musculoesquelético e sistema fasciocutâneo, desses, cada um contribui para seis plexos reticulares horizontais anastomosados de arteríolas que possuem conexões vasculares. Logo, três destes estão localizados na própria pele: plexo subpapilar, plexo dérmico reticular e plexo dérmico profundo. Os outros três plexos restantes são: o plexo subcutâneo e dois plexos associados a fáscia profunda.
Inervação
As funções da pele relacionadas com a sensibilidade aos estímulos mecânicos, térmicos ou nocivos são possíveis devido ao tecido ser ricamente inervado. Essas sensações irão informar ao organismo sobre as variações externas através de seus respectivos receptores sensoriais. Somando-se a isso, o rico suprimento nervoso da pele possui também funções autonômicas que se relacionam com a termorregulação, utilizando-se de mecanismos de vasodilatação, vasoconstrição, piloereção e produção de suor.
O que são os dermátomos?
Um dermátomo funciona como um mapa que representa uma área suprida por todos os ramos cutâneos de um nervo espinal individual por meio dos seus ramos dorsal e ventral (Fig 11). Eles são de suma importância clínica, pois permitem identificar possíveis alterações de sensibilidade e a localização dessa provável patologia.

Receptores sensoriais
Receptores são estruturas responsáveis por captar estímulos como tato, dor, som, luz, frio e calor. Os receptores sensoriais são cinco tipos: mecanorreceptores, termorreceptores, nociceptores, receptores eletromagnéticos e quimiorreceptores.
Espalhados pela pele, cada um apresenta funções específicas, como representado na tabela abaixo:

Cada receptor de superfície apresenta diferentes sensações, como representado na tabela 2 abaixo:

Linhas da pele
A pele possui na sua superfície algumas marcas lineares visualizadas como sulcos, áreas elevadas e direções preferidas de estiramento. Veja na Fig 12 abaixo alguns exemplos de linhas da pele.

Referências:
DRAKE, Richard L.; VOGL, A. Wayne; MITCHEL, Adam W. M. Gray’s anatomia clínica para estudantes. 3. ed. Rio de Janeiro: Elsevier, 2015.
Monitoria Virtual de Histologia, UFRN. Disponível em: <https://www.facebook.com/Monitoria-Virtual-de-Histologia-UFRN-148482331979059/?__tn__=kC-R&eid=ARCFqGV1TpFQLZfusbu-7-O5ZkRStI4JzkLVdyqvTca4vPtiz6I4kQnYAdSo9YPl8__VsLFdsEIwCq8t&hc_ref=ARQP4vxqeTxJxPT0sU2ASoS7b-_FXb65eQgenmY6FG6CLhf1tAPw01iSeymyYkNLcog&fref=nf>. Acesso em: 20 de março de 2020.
HALL, John Edward; GUYTON, Arthur C. Guyton & Hall tratado de fisiologia médica. 13. ed. Rio de Janeiro: Elsevier, 2017.
JUNQUEIRA, L. C.; CARNEIRO, J.; ABRAHAMSOHN, P. Histologia básica: texto e atlas. 13. ed. Rio de Janeiro: Guanabara Koogan, 2017.
MOORE, Keith L. Anatomia orientada para a clínica. 7. ed. Rio de Janeiro: Guanabara Koogan, 2014.
Pele e anexos. Atlas virtual de histologia. Disponível em: <http://histologiaufrn.blogspot.com/search/label/N%C2%BA%2010%20-%20Pele%20e%20Anexos%3A>. Acesso em: 28 de março de 2020.
Tecido Epitelial Glandular. Unifal – MG. Disponível em: <https://www.unifal-mg.edu.br/histologiainterativa/tecido-epitelial-glandular/>. Acesso em: 28 de março de 2020.
TORTORA, G. J. Princípios de anatomia humana. 12ª. edição. Guanabara Koogan . Rio de Janeiro, 2013. WURZINGER, L. J. ET AL.
Unhas. Mundo Educação. Disponível em: <https://mundoeducacao.bol.uol.com.br/biologia/unhas.htm>. Acesso em: 28 de março de 2020.

