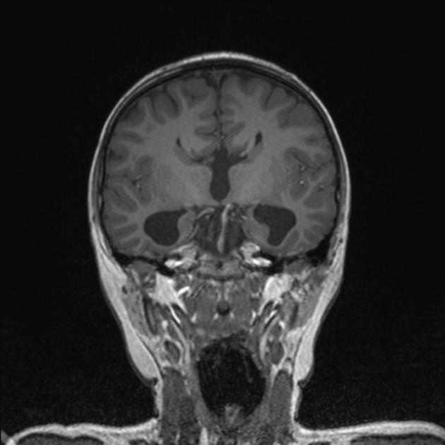
O sinal do alce (moose signal) ou sinal do capacete viking (viking helmet signal) pode ser observado na neuroimagem em indíviduos com digenesia/agenesia do corpo caloso ou desmielinização. Na ressonância magnética em corte frontal, os ventrículos laterais apresentam-se tal qual a cabeça de um alce, e o giro cingulado é evertido em longos e estreitos chifres.
Esse sinal pode ser indicativos de uma variedade de sintomas neurológicos e cognitivos nos pacientes e, a gravidade e a natureza dos sintomas dependerão do tipo e da extensão da alteração no corpo caloso.


Referência:
Ranchod, Ashesh Ishwarlal (2023). Moose head appearance. https://radiopaedia.org/. Acesso em 14 de mai. 2024.